肺结核患者可通过痰涂片检查、胸部X线检查、结核菌素试验、分子生物学检测、免疫学检测等方式应对入职体检。肺结核通常由结核分枝杆菌感染引起,具有传染性,建议患者及时就医,在医生指导下规范治疗。

痰涂片检查是诊断肺结核的常用方法,通过显微镜观察痰液中是否存在抗酸杆菌。该方法操作简便且成本较低,但敏感度有限,可能需要重复进行以提高检出率。检查前需采集清晨深部痰液,避免唾液或鼻咽部分泌物干扰结果。若检测结果为阳性,通常提示活动性结核感染,需进一步结合临床症状和其他检查结果综合判断。
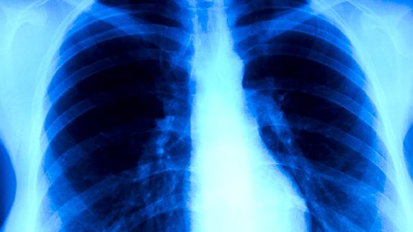
胸部X线可显示肺结核的典型病变特征,如肺上叶浸润影、空洞形成或纤维钙化灶。该检查发现异常阴影时,需与肺炎、肺癌等疾病鉴别。活动性肺结核常表现为边缘模糊的斑片状阴影,陈旧性结核则多见边界清晰的纤维条索影。检查无须特殊准备,但孕妇应告知医生,必要时采取防护措施。
结核菌素皮肤试验通过皮内注射纯蛋白衍生物,观察48-72小时后的皮肤反应。硬结直径超过特定标准可能提示结核感染,但无法区分活动性或潜伏性感染。接种过卡介苗或感染非结核分枝杆菌可能出现假阳性,免疫功能低下者可能出现假阴性。该试验主要用于筛查潜伏感染,需结合其他检查综合评估。

基因扩增技术如XpertMTB/RIF可快速检测痰标本中的结核分枝杆菌DNA及利福平耐药基因,2小时内即可获得结果。该方法敏感度和特异度较高,尤其适用于痰涂片阴性但临床高度怀疑结核的情况。检测需要专用设备和技术支持,成本相对较高,在资源充足地区可作为一线诊断工具。
γ-干扰素释放试验通过检测结核特异性T细胞免疫反应辅助诊断,不受卡介苗接种影响。该血液检测适用于结核菌素试验结果难以判读的情况,但不能区分活动性与潜伏性感染。检测前无须空腹,但近期疫苗接种或免疫抑制治疗可能影响结果准确性。阴性结果可帮助排除结核感染,阳性结果需结合临床表现判断。

肺结核患者应保持规律作息,保证充足营养摄入,多食用富含优质蛋白和维生素的食物如鸡蛋、牛奶、西蓝花等。治疗期间须严格遵医嘱服用抗结核药物,不可自行停药或减量。注意咳嗽礼仪,佩戴口罩并妥善处理痰液,避免传染他人。定期复查肝肾功能和胸部影像,监测治疗效果。保持居住环境通风良好,适度进行有氧运动增强体质,但避免过度劳累。出现药物不良反应或症状加重时及时就医调整治疗方案。
2025-06-23
2025-06-23
2025-06-23
2025-06-23
2025-06-23
2025-06-23
2025-06-23
2025-06-23
2025-06-23
2025-06-23