肺结核体检一般能查出来,主要通过胸部X线检查、痰涂片检查、结核菌素试验等方法进行筛查。肺结核是由结核分枝杆菌感染引起的慢性传染病,建议出现咳嗽、咳痰、发热等症状时及时就医检查。

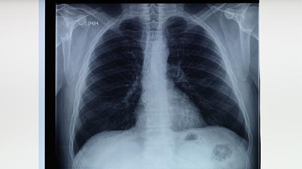
肺结核体检中,胸部X线检查是最常用的筛查手段,能够发现肺部异常阴影,提示可能存在结核病灶。痰涂片检查通过显微镜观察痰液中是否存在抗酸杆菌,是确诊肺结核的重要依据。结核菌素试验通过皮内注射结核菌素,观察皮肤反应判断是否感染结核分枝杆菌。血液检查如γ-干扰素释放试验也有助于诊断。对于疑似病例,医生可能会建议进行痰培养检查,虽然耗时较长但准确性较高。

部分早期肺结核或症状不典型的患者,体检可能出现假阴性结果。免疫力低下人群如HIV感染者,结核菌素试验可能出现假阴性。儿童肺结核患者由于症状不典型,诊断难度相对较大。肺外结核如结核性胸膜炎、结核性脑膜炎等,常规体检可能难以发现。体检结果异常时,需要结合临床症状和其他检查综合判断。

肺结核确诊后应在医生指导下规范使用抗结核药物,常见药物包括异烟肼片、利福平胶囊、吡嗪酰胺片等。治疗期间应注意隔离防护,避免传染他人。保持居住环境通风良好,保证充足营养摄入,适当进行户外活动增强体质。完成全程治疗对防止复发和耐药结核产生至关重要,不可自行停药或减药。
2025-12-26
2025-12-26
2025-12-26
2025-12-26
2025-12-26
2025-12-26
2025-12-26
2025-12-26
2025-12-26
2025-12-26