怀疑肺癌时通常需进行胸部CT、病理活检、肿瘤标志物检测、支气管镜及PET-CT等检查。肺癌诊断需结合影像学与组织学证据,不同检查各有侧重,需由医生根据病情选择。

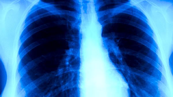
胸部CT是肺癌筛查的首选方法,能清晰显示肺部结节或肿块的形态、大小及位置,对于早期发现微小病灶有较高敏感性。薄层CT扫描可进一步评估病灶边缘特征,如毛刺征、分叶征等恶性征象。增强CT则有助于判断纵隔淋巴结转移及血管侵犯情况。部分医院采用低剂量CT进行高危人群筛查,如长期吸烟者或家族史人群。
病理活检是确诊肺癌的金标准,可通过支气管镜活检、经皮肺穿刺活检或手术切除获取组织样本。活检标本需进行免疫组化或基因检测,区分腺癌、鳞癌等亚型,并检测EGFR、ALK等驱动基因突变以指导靶向治疗。支气管镜尤其适用于中央型肺癌,可直观观察气道内病变并取样,而周围型病灶常需CT引导下穿刺。

肿瘤标志物如CEA、CYFRA21-1、NSE等可作为辅助诊断指标,但特异性有限,需结合其他检查。PET-CT通过示踪剂摄取程度判断病灶代谢活性,对鉴别良恶性、评估全身转移有重要价值,但费用较高且存在假阳性可能。骨扫描或脑MRI则用于排查骨转移或脑转移等晚期表现。临床实际中可能需要多项检查互补验证。

肺癌确诊后还需完善分期检查,包括超声内镜评估淋巴结、腹部CT排查远处转移等。部分早期患者可能需术前肺功能测试评估手术耐受性。高危人群定期随访时建议固定同一家机构检查以便对比影像变化。检查结果应由呼吸科或肿瘤科医生综合解读,避免自行判断延误治疗。
2026-05-15
2026-05-15
2026-05-15
2026-05-15
2026-05-15
2026-05-15
2026-05-15
2026-05-15
2026-05-15
2026-05-15