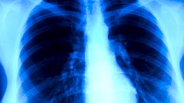
X光胸透可以检查出部分肺癌,但存在漏诊概率。肺癌筛查主要依赖低剂量螺旋CT,X光胸透对早期肺癌的检出率较低,可能遗漏小结节或特殊位置的病灶。

X光胸透作为一种基础影像学检查,能够显示肺部较大肿块、肺门增大、胸腔积液等中晚期肺癌的典型表现。对于直径超过2厘米的中央型肺癌,尤其是伴有阻塞性肺炎或肺不张的情况,胸透检查通常能发现异常阴影。胸透的优势在于操作简便、辐射剂量低且成本较低,适合大规模体检筛查。

胸透对早期周围型肺癌的检出率不足30%,可能漏诊小于1厘米的肺结节、磨玻璃样病变以及被心脏或横膈遮挡的病灶。部分肺泡癌或沿支气管壁生长的肿瘤在胸透中仅表现为局部纹理增粗,容易与肺炎或结核混淆。对于高危人群如长期吸烟者,胸透阴性结果不能完全排除肺癌可能。

建议40岁以上吸烟人群每年进行低剂量螺旋CT筛查,该技术能发现90%以上的早期肺癌。若胸透发现可疑阴影,需进一步通过增强CT、PET-CT或支气管镜检查明确诊断。同时应结合肿瘤标志物检测和临床表现综合判断,避免单一依赖胸透结果延误治疗时机。
2025-06-07
2025-06-07
2025-06-07
2025-06-07
2025-06-07
2025-06-07
2025-06-07
2025-06-07
2025-06-07
2025-06-07