肺气肿可通过胸部X线检查、胸部CT检查、肺功能检查、血气分析、支气管镜检查等方式诊断。肺气肿通常由长期吸烟、空气污染、职业粉尘接触、遗传因素、慢性支气管炎等原因引起。

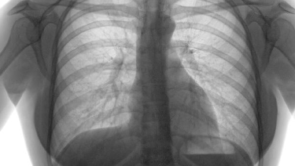
胸部X线检查是诊断肺气肿的初步筛查手段,可显示肺野透亮度增高、横膈低平、肋间隙增宽等特征性改变。早期肺气肿可能仅表现为肺纹理稀疏,随着病情进展会出现典型肺过度充气征象。该检查具有操作简便、费用较低的优势,但对轻度肺气肿的敏感性有限。
高分辨率CT能更精确评估肺气肿的病变范围和严重程度,可识别小叶中心型、全小叶型等病理类型。CT能发现X线难以显示的早期肺气肿病灶,对肺大疱的检出率显著高于普通X线。薄层CT重建技术还能定量分析肺密度,为病情监测提供客观依据。
肺功能检查是确诊肺气肿的核心方法,通过测定第一秒用力呼气容积与用力肺活量比值可判断气流受限程度。典型表现为残气量增加、弥散功能降低、肺总量增大。支气管舒张试验可鉴别是否合并可逆性气流受限,六分钟步行试验能评估运动耐量。

血气分析可评估肺气肿患者的氧合状态和通气功能,晚期患者可能出现动脉血氧分压降低、二氧化碳分压升高。静息状态下血氧饱和度正常不能排除运动后低氧血症,动态监测对判断病情进展和指导氧疗有重要意义。
支气管镜检查主要用于排除其他气道疾病,可直接观察气道黏膜病变情况。对于合并咯血或怀疑气道异物的患者具有重要诊断价值,同时可进行支气管肺泡灌洗获取病理标本。该检查属于有创操作,通常不作为常规检查项目。

确诊肺气肿后应严格戒烟并避免二手烟暴露,注意保暖预防呼吸道感染。适当进行腹式呼吸训练可改善通气效率,营养支持有助于维持呼吸肌功能。中重度患者需遵医嘱使用支气管扩张剂,定期复查肺功能评估病情变化。出现气促加重或发热时应及时就医,避免急性加重导致呼吸衰竭。
2025-03-15
2025-03-15
2025-03-15
2025-03-15
2025-03-15
2025-03-15
2025-03-15
2025-03-15
2025-03-15
2025-03-15